![]()
こんにちは![]()
こまい歯科、歯科衛生士の中尾です![]()
永研会のスタッフは、メインのお仕事以外にも、色々な係や委員会のお仕事をしています。
ちょっと、学校みたいですね
私の係は植物係です
鉢植えにお水をあげたり
、受付にお花を飾ったりしています![]()
お花を飾ると言っても、実はお花屋さんにアレンジを作っていただいています![]()
私はメインになるお花と、アレンジのテーマを決めています![]()
写真のお花は極楽鳥花(ストレリチア)をメインに、テーマは南国風でお願いしました![]()
月に2回ほど、お花を買いに行くのですが、四季折々のお花で、その時々のお祝い事や、
イベントを表現するのは、とっても楽しいです![]()
患者様だけでなく、出入りの業者さんや、スタッフもお花を楽しみにしてくれています![]()
植物がある空間は良いですね~![]()
お花をキレイに飾って、皆さまのお越しをお待ちしていますね![]()
こまい歯科院長 佐藤です。
こまい歯科のホームページをリニューアルしました。
↓ ↓ ↓ ↓
http://www.shika.tv/
最近、内外から「ホームページ古いですね。。。」
との声があがっており、
設立当初からこまい歯科の看板となっていた、
味のあるホームページを一新することとなりました。
これからもっと写真や記事をアップして、
皆様に愛されるこまい歯科づくりをしていきますので、
楽しみにしていてください。
ちなみにこのホームページは
株式会社 ゼロメディカル プロデュースです。
http://www.zeromedical.tv/
今後ともよろしくお願いします。
こんばんは
こまい歯科の高松です
私は約2年前、矯正を始めました
始める前の歯並びはこんな感じです。。。
うーん。
ガタガタですね
昔はあまり歯並びを気にしていた訳ではなかったのですが、
歯科の世界で働くようになって、
『歯』の大切さがよりわかったからということと、
写真を撮ると八重歯の隣の歯が奥に引っこんでいたので歯抜けのように
見えてしまうことが気になり
矯正する決心をしました
そして今日やっと
矯正装置(ブラケット)を上の歯だけですが、
外すことができました



歯を抜くことなくここまできれいに並べてくれた先生にとても感謝しています
まだ下の歯の装置は外していないのでまだ途中ですが、
全部終わったらまたご報告したいと思います
歯並びにコンプレックスやお悩みがある方、
ぜひ1度、先生に相談してみてはいかがでしょうか
もちろんスタッフには矯正終了しているスタッフ、
現在矯正中のスタッフもおりますので、聞きたいこと、相談したいことがあれば
気軽にお声掛けくださいね

みなさん、こんにちはヾ(´ω`=´ω`)ノ
こまい歯科の港です
今回は、こまい歯科のニューフェイス
のご紹介です。
‥といっても人ではなく、コチラ
↓

そうです
診察台です
つい最近、こまい歯科では診察台が2台新しくなりましたっ
しかもグリーンとオレンジというカラフル診察台
写真はグリーンですが、オレンジも明るく可愛い色なんです
憂鬱な治療も可愛い診察台なら耐えられる‥かも
しれませんよ
治療の際は、診察台にも注目してみて下さいね
最近ブログ活性化を目指してますので、ちょくちょく覗いてみてください(*・ω・)ノ
みなさん、こんにちは
こまい歯科の篠澤です。
寒い日が続き、インフルエンザが猛威をふるい始めたようですが、
体調を崩したりしていませんか
さて、病院などの待ち時間は皆さん何をして過ごされますか?
こまい歯科では、マッサージチェアがダントツの人気を誇っています
この椅子に座るために早めにみえる方がいるくらいです
といっても、1台しかないので、皆さん本を読んだり、
ゲームをしたり、音楽を聴いたりと様々なことをされています。
そんななか、待合室の壁に貼ってある私たちの紹介文をじっくり観察されている方もいらっしゃいます

受付に座っていると、紹介文の写真と見比べられたり、
写真写りが良くないから変えたら?とアドバイスをいただいたり
貼りだしてから時間が経ち、スタッフの髪型が変わっていたりしてなかなか面白いです。
こまい歯科にいらっしゃった際は、是非一度見てみてください
誰が受付で、誰がアシストについたかわかりますよ

こまい歯科の小泉です。
先週の佐藤先生に引き続き、
見えない部分の治療シリーズ第2弾です。
今回は、私が治療した1つのケースを通して
お話しさせていただこうと思います。
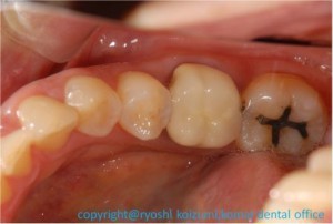
図1 左下の奥歯2本に問題あり
この方は、左下の奥歯のうち、1本は古いセラミック冠が、
一番奥はアマルガムという銀が詰めてありましたが、
違和感がする、ということでレントゲンを撮影したところ、
冠の歯は根の先に膿がたまってるようでした。銀の入った歯は
むし歯が見つかりました。
図2 まず奥から2番目の冠を外し、根の治療と同時に仮歯を入れました。
図3 次に、根の治療を終えた歯にファイバーコアという土台を接着、
そして一番奥の歯のむし歯を除去したところです。
図4 ここで今日のテーマですが、患者さんからは見えない所がこの
写真の部分です。
ここで見ていただきたいのは、歯と歯肉の境目部分です。
歯が滑らかではっきりとした曲線で削ってあるのが見えますね。
実は我々専門家にとって技術の上手下手を判断できるわかりやすい
指標の1つがこの「支台歯形成」そして「マージンライン」です。
簡単にいえば、「支台歯形成」とは歯を規格通りに削ること、
「マージンライン」は削った部分と削っていない部分の境目のことで、
これがいかに滑らかで綺麗かが、その後の治療の成否に大きく影響します。
歯科医師の技術の見せ処ですから相当に気を使います。
実際、私の修業時代において、この技術の習得には膨大な時間を
かけました。
作業精度は20~50μm(0.02~0.05mm)の世界ですから
当たり前ですね。
歯科医師9年目を迎えた今ではすっかり慣れた技術ですが、
この場面になると今でもとりわけ神経を集中させています。
今みなさんはネットで写真を見ていますが、口の中はもっと暗く、そして
こんなにはっきりとは見えませんし、ここまで細部をチェックすることも
「肉眼」では不可能です。
なぜなら、肉眼では、条件が良くても0.1mm、通常は0.2mm
(100~200μm)レベルが限界です。
拡大鏡と肉眼とでは精度がいかに違うかがお分かりかと思います。
唾液や水ですぐに歯の表面が反射したり光が屈折して見えづらかったり、
照明の光が届かなくて、よく見えないことも起こります。
なにより、患者さんがずっと口を開け続けていることも大変ですから、
手際良くもなければならず、じーーっと見ている時間を確保するのも
一苦労です。
参考までに、写真の大きさは、私が愛用しているサージテル社の5倍の拡大鏡を通してのものとだいたい同じレベル、とお考えください。
図5 印象(歯の型取り)
この方は歯を白くしたいということで、ジルコニアクラウンと
高度強化型セラミックインレーを製作することになりました。
セラミック治療はとりわけ精密さが要求されるので、シリコン印象剤を
用いました。
図6 印象部分の拡大:歯の全周にわたって印象剤が流れている。
これにより、歯科技工士さんも精密な仕事が可能となる。
(これも見えない部分ですが、重要な仕事です)
図7 印象部分をさらに拡大:境界が1本のラインで綺麗につながっている
のが確認できる。
油断すると印象剤に気泡が入り、穴があいてしまったり、面が荒れて
しまいます。
そうなっては、歯科技工士さんがきれいに冠や詰め物を作製することが
できなくなります。
この点も患者さんからは「見えない部分」ですが、治療において
重要なポイントの1つです。
図8 完成
ついに完成しました!
冠と詰め物を精密に作ってくださる優秀な歯科技工士さんと、
アシスタントの歯科助手さんとのコラボのたまものです。
そして何より、患者さんが一番頑張って治療を受けてくださったと思います!
治療前の違和感は無事解決し、納得のいく仕事ができました。
以前よりも噛みやすくなり、見た目もきれいになって嬉しい!、と
喜んでおられました!
この瞬間、この言葉、そして患者さんの嬉しそうな顔が、
歯科医師人生で一番嬉しく感じる時間の1つです。
こまい歯科では、見えない所であっても大切にしながら、
みなさんの幸せにつながるような仕事をこれからも
し続けていこうと思っております。
事務局の原田です。
あっと言う間に、年末になってしまいました。
2010年も終わりです。
12月22日(水)に医療法人社団 永研会の恒例である、全体会議と
忘年会が行われました。
全体会議の模様を少しレポート致します。
今年の全体会議は3部構成になっており、理事長である「駒井先生からの話」、
「各院長からの2010年振り返りと来年への抱負」、「各委員会紹介」と
いった流れでした。
駒井先生からのお話、2011年、さらにその先のお話がありました。
千歳烏山、仙川の「あたたかいを考える」ことを来年以降もやっていきます。
こまい歯科の佐藤院長。
熱いお話!予定時間をオーバーするぐらいです。!
永研会クリニック医科の かとう院長。
個人的には涙が出そうなぐらい感動するお話でした。
永研会クリニック歯科の伊藤院長。
地域に密着した診療についてや、商店街を歩いていると・・・など、
バラエティーに富んだお話でした。
こまい歯科訪問診療部の野村院長。
今の現状を冷静に分析したお話がありました。笑顔がキュートです。
永研会クリニック訪問診療部の工藤部長。
普段からとても楽しい方なのですが、このときは真面目なお話をされていました。
新たな一面?
永研会事務局の花岡事務局長。
事務局員のボスです。花岡さんも真面目でしたねー。普段は違います。
みんな真剣に聞いています。
2011年も永研会をよろしくお願い致します。
あけましておめでとうございます。
こまい歯科 佐藤です。
今年もよろしくお願いします。
唐突ですが、この写真、何だかわかりますか??


少し引いてみましょう。
そうです。これは1000円札に描かれている、
桜の花びらを拡大して撮影したものです。
もう一度、最初の3枚の写真を見てください。
花びらの中の、緑色のおしべの一つが文字になっています。
二、ホ、ン
見えましたか??
今年からこまい歯科に、歯科用実体顕微鏡を導入しました。
最初の3枚は、その顕微鏡で約20倍に拡大して
撮影したものです。
頻繁に行われる根の治療においては、
根の中は見えず、手探りで行われていましたが、
顕微鏡を導入することで、
今まで見えなかった歯の根の中を見ることができます。
Make it visible.
「見える」ことによって、
治療の精度は革命的に良くなります。
常に知識と技術の研鑽を積み、
より良い治療をできるように、
今年もモリモリ頑張っていきたいと思います。
明けましておめでとうございます。
事務局の原田です。
2011年を無事迎えることが出来ました。
本日、1月4日より当法人としては診療はじめとなっております。
本日も普段と変わらず、以下の診療時間で診察を行っております。
こまい歯科 9:00~20:30(休憩:14:00~15:30)
ファミリークリニック千歳烏山 9:00~19:00(休憩:13:00~15:00)
永研会クリニック 9:00~19:00(休憩:13:00~14:30)
皆様の健康、地域の健康に貢献出来るよう、スタッフ一丸で取り組んでまいります。
本年もよろしくお願い致します。