
こまい歯科助手の井上です(。・ω・)ノ゙
今回は、歯垢染色液『PROSPEC』のご紹介をさせていただきます!

こんにちは、永研会訪問診療部仙川歯科の松島です。
ここ数日、あちこちの地域でまた地震が多いですね。
山梨に祖父母が住んでいることもあり、先日の山梨の地震はとても不安になってしまいました![]()
ところでみなさんは非常用品の準備していますか?
永研会では東日本大震災以来、各部署にお水や非常食などを常備することになりました。
訪問診療部仙川医科・歯科の事務所にも、
お水・非常食・毛布・寝袋・ランタンなどが常備されました。
これで帰宅困難になってもしばらくは事務所で過ごせそうです。
そして先日、
訪問診療への移動に使用する車中にも非常用品を用意しました。
お水・非常食・簡易トイレ・防寒シートが入っています。
遠くは立川方面まで訪問診療へ伺っていますので、
その行き帰りに何かあった場合、道路は渋滞し車中に数時間閉じ込められることも予想されます。
または車をその場において、徒歩移動になるかもしれません。
とくかくスタッフ全員が無事に戻ってきて欲しいと、事務の私はこの場で祈ることしかできないのですが。
また永研会では他にも、防災に関して活動しているスタッフ達がいます。
永研会には学校のように、『委員会』というものがあります。
職種ごとの委員会や、運営を考える運営委員会、クリニックなどを清潔に保つ美化委員会や、レクリエーションを企画運営してくれるレクリエーション委員会など、約20個の委員会があります。
その中のひとつ、労務衛生防災委員会のみなさん。
患者さまとスタッフの安全のために、毎月の委員会会議で話し合いをしてくれているそうです。
もちろん、何もなく平和に過ごすことができればこれ以上幸せなことはありませんが、
いつ、何が起こるか分からないことを東日本大震災で学びました。
悲劇を繰り返さないために、また、真っ暗な闇の中少しでも不安がなくなるよう、
みなさんも必ず緊急時の準備をして頂きたいと思っています。
ちなみ我が家の非常用品はリュックにあれもこれもと詰め込みすぎて、
持ち運べない重さになってしまいました![]()
こんにちは![]()
こまい歯科の小泉です![]()
2カ月ほど前にはなりますが、歯を治療することにより
かみ合わせを改善したところ、歩行姿勢が良くなって、ひざ痛も
軽減された患者さんがおられます![]()
患者さんご本人の許可をいただきましたので、簡単ではありますが
報告させていただきますね!
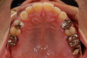
治療前:上顎
治療前:下顎
この方はお仕事が忙しくて歯が壊れたまま数年が経過。
当初、こまい歯科にいらした時は、ひざも痛めておられ、かがんだような感じで
歩いていらっしゃいました。
そして半年かけて治療が終わりました。
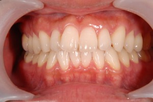
治療後:上顎
治療後:下顎
治療後の姿勢
治療前の姿勢の写真がないのが残念ですが、治療が進んでいって、ある時、
突然、背が高くなった感じで歩いていらっしゃったのを今でも覚えています。
なんと!ひざの痛みがほとんどとれたんだそうです。
歯は全身の健康につながっている、ということですね。
もちろん、人間の身体ですから、かみ合わせを治せば100%全身のゆがみや痛みが
軽減される、ということではありませんので、その点はくれぐれもご了承ください。
ただ、このようなケースもあるんだ、ということを知っていただければ、
そして、似たような方がいらっしゃれば、一度ご相談いただければ、お役に立てるかもしれません。
詳しいことはまた後日アップしますね![]()
こまい歯科 佐藤です。
寒い日が続いていますが、皆さんいかがお過ごしでしょうか?
インフルエンザも猛威をふるい始めているようですね。
僕は北海道出身で、毎年、年末年始には実家に帰るのですが、
今年はあまりにも寒いため、帰省を春先に延期することにしました。
そのことを伝えるため、父親に連絡をしたところ、
今年、例年よりも寒いのは、北極からの寒波の影響だと説明してくれました。
この寒波は、北極振動という気まぐれで予測しにくい気象現象で、
ヨーロッパ、ロシア、アメリカ、アジアなどの北半球に、ランダムに流れ込んでくるものだとか。
昨年はアメリカやヨーロッパでは死者が出るほどの大寒波だったとのこと。
そんな地球規模の話を、
「ときどき町内会の役員を頼まれて困るんだけど、それなりに準備しておけばたいしたことじゃないんだ。
みんな順番でまわってくるものなんだから、オタオタしちゃいかんのだよ」
的な軽いテンションで話す父親に、スケールの大きさを感じてしまった次第です。
さて、、、
先日のブログでもご紹介させていただきましたが、
永研会グループの歯科(こまい歯科、永研会クリニック歯科)では、
3月までホワイトニングのキャンペーンを行っています。
おかげさまで、こまい歯科だけで、すでに20件近くのご予約をいただいております。
キャンペーン前に、自分自身に試してみた写真です。
施術前の写真を撮り忘れたため、比較対象としてわかりにくいですが、
一度のホワイトニングでは、今までのシステムの中でダントツに白くなります。
感想としては、
施術中と翌日に、少しヒリヒリするような痛みがありましたが、すぐに消えました。
歯が白くなったことで、右の前歯の詰め物が黄色く目立つようになってきました。
また、あまり知られていないホワイトニングの意外な効果として、
歯がツルツルになり、プラーク(歯垢、食べかす)がつきにくくなるのです。
少しの痛みが伴うものの、白さを実感できて、歯がツルツルになり、むし歯や歯周病予防にもなるので、
これは是非継続したいと思っています。
3月までのキャンペーンですので、
興味がある方は、是非一度ホワイトニングをお試しください!
こんにちは
リハビリテーション科 助手です![]()
先週行われたリハ科ミーティングの巻~
以前にもやりました、これってOK?NG?を話し合うミーティングでした![]()
日頃、これっていいのかな?私はいいけど、みんなはどう思ってるんだろう?
というような内容を書き出して話し合う、みんなの意見を吐き出し共有するという重要なミーティングでした
これって自分のこと言われてるのかな?とかへこんだり不安に思うことがはじめはありましたが、
これは誰かを責めるためにしてるのではなく、リハスタッフの意識を統一していきたいという思いで実施しています。
半年に一回実施していきたいと思っています
次は新しいスタッフが入った頃に行われると思いますので、またでてくる意見が変わってくるのが楽しみです。
そして、またまた余談ですが本日、永研会クリニック医科では、新年会が行われました
院長の一声で集まりまして、楽しい時間が過ごせました。
他部署と偶然にも一緒になり、交流がありました![]()
こうゆうのも医療法人永研会の楽しさかなと思いました![]()
部署、職種を超えての交流が身近にあります
今年度は、リハ科もたくさんのスタッフを受け入れたいと考えています。
リハ科スタッフも個性豊かですが、他部署はもっと個性豊かです
普段の仕事の姿とかけ離れている方もいましたが、オンオフしっかりしていればヨシとしましょう
今年学校を卒業される理学療法士さん
私たちは、真剣にあたたかいを考えてくれて、仕事以外はとても素敵な個性を持っている方を待っています
気軽に見学に来てください



遅くなりましたが、新年あけましておめでとうございます![]()
リハビリテーション科 助手です![]()
今年もどうぞよろしくお願い致します![]()
医療法人永研会では、委員会活動が盛んに行われておりまして半期に1回活動内容の発表会があります。
発表会では活動内容によって投票が行われ表彰をされることになりました
そこで、なんと
私たちリハビリ会では、『あたたかいで賞』をいただきました![]()
ありがとうございます
リハスタッフ全員うれしさを隠すつつニマニマ
していたと思います。
表彰の目録として、宝くじをいただきまして
先週土曜に新年初のリハビリミーティングで1時間ほど、ミーティングが行われたあとリハスタッフ全員で
宝くじの結果を確認しました 結果は…![]()
と、さっそく本題ですが(笑)
今年度、永研会クリニック リハビリテーション科は春に卒業される理学療法士を積極的に採用して
一緒にリハビリを盛り上げてくれる仲間をお待ちしています![]()
学生の皆様、引っ込み思案のかたが多いのか見学などのお問い合わせが
なかなかきていないようなので、待ちきれない私たちは動きだします![]()
印象にとても残る部長
が学校や学生さんがいる場所をまわり永研会クリニック
リハビリテーション科をアピールしていくことになりました![]()
![]()
見かけた方は気軽に声かけてください
リハスタッフは笑顔のスペシャリストなので![]()
見学は1時間くらい実際の業務の様子を見学していただいて、外来・訪問と担当者との質疑応答の時間を
たっぷりもうけていますので、しつこいと思われるほど質問していただいてもかまいません
お待ちしています![]()
こまい歯科助手の田村です![]()
今、ホワイトニングのキャンペーンを
実施しているので紹介します!!
オフィスホワイトニングが通常¥31,500が
今ご予約いただくと50%OFFの
¥15,750
でご案内しております!!
またホームホワイトニングが通常¥40,950が
オフィスホワイトニング+ホームホワイトニング両方で
¥42,000
でご案内させていただいております!!
ホームホワイトニングは2週間分お渡しで
私も家で使っているのですが、
2.3日目で私は効果が出ました![]()
このキャンペーンは3月末までご予約が
埋まり次第終了とさせていただきますので、
ご希望の方はお早めにご連絡下さい☆